制約の多い「保険治療」では
叶えられない治療があります
機能も見た目も、ワンランク上の再建を。
頻繁に保険治療を受けている方へ
保険適用の治療は、経済的な負担が少ないという利点がありますが、一時的な処置が中心となりがちです。
このため、根本的な解決には至らず、虫歯や歯周病が再発しやすい傾向があります。
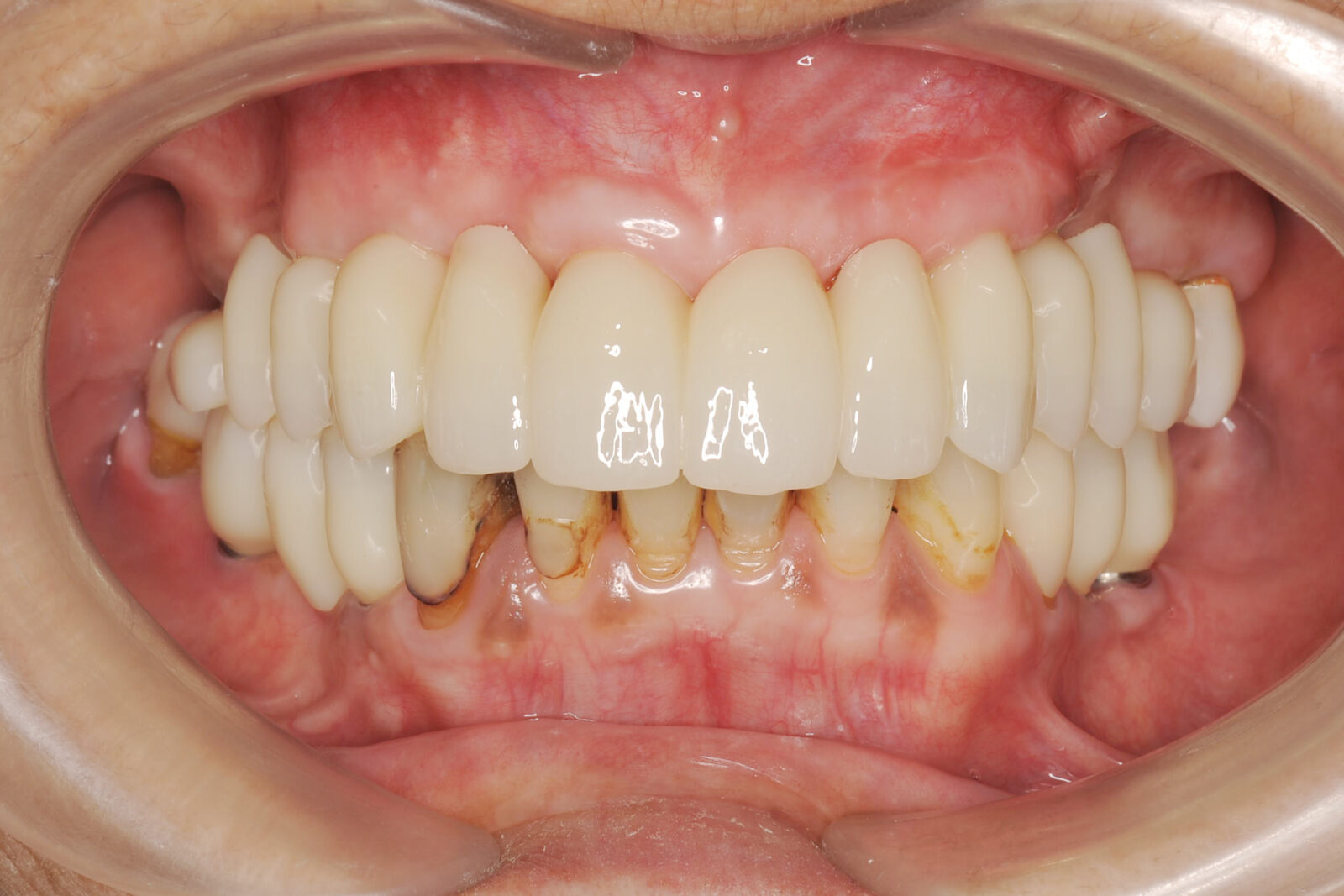
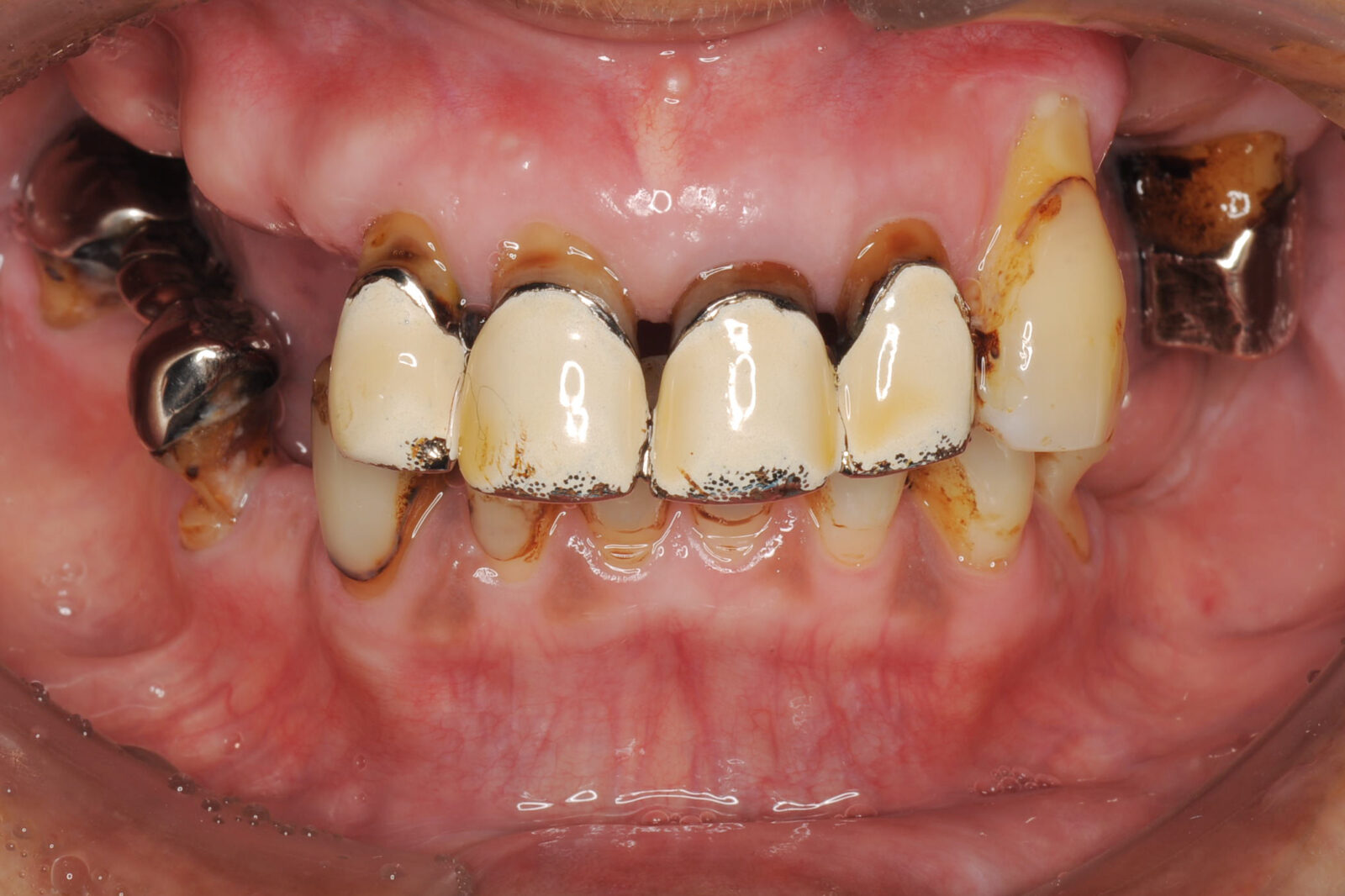
結果として、被せ物や入れ歯、ブリッジが増え、見た目にも影響が出ることがあります。そして最終的には、多くの歯を失い、総入れ歯が必要になるケースもあります。
総入れ歯には以下のような問題が伴います。
✅ 十分に噛む能力が低下し、食事に制限が生じる
✅ 偏った食生活が健康への悪影響を引き起こす可能性がある
✅ 入れ歯が他人に知られることを避けたいという気持ちから、外出が億劫になる
こうした問題を避けるために、早期に適切な治療を受けることが極めて重要です。
一度失った歯は元に戻すことができません。歯に違和感や不調を覚えた際には、お気軽に当院へご相談ください。
治療内容についてのご案内
当院では、患者さん一人ひとりの悩みや要望に応じた治療を提供しています。
まず、患者さんのお口の健康状態をしっかりと診査・診断した上で、ご希望を丁寧にヒアリングします。
そして、その結果を基に最適な治療法をご提案いたします。
ここでは、一般的な症状に対する代表的な治療方法についてご紹介します。
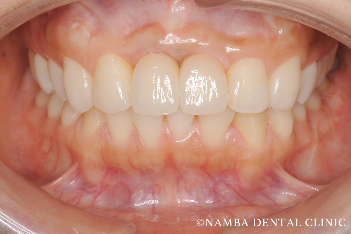
ご提案① 歯の見た目を改善したい方へのご提案
見た目を改善したい方には、以下のような治療法があります。
✅ セラミック治療 銀歯や劣化した被せ物を白く美しいセラミックに替えることで、自然な口元に整えます。
✅ インプラント/オールオン4 歯を失ったままにしていたり、重度のダメージがある場合は、機能と見た目を同時に回復できる治療法です。詳しくは以下をご覧ください。
インプラントとは オールオン4とはご提案② 保険適用の入れ歯やブリッジでお悩みの方へ
保険内で提供される
入れ歯や
ブリッジは、制約が多く、患者さんが悩みを抱えることがあります。
すべての問題が解決するわけではありませんが、保険外の治療に切り替えると、現在の状況が改善される可能性があります。
また、
インプラントや
オールオン4といった選択肢により、状況が大きく変わることも期待できます。詳しくは以下をご覧ください。
「入れ歯」が噛めない
「ブリッジ治療」を繰り返しているご提案③ 再発を防ぐための治療法のご案内
多くの方が「再発は避けたい」と思いつつも、「悪くなったら治療すればいい」「年齢のせいだから仕方ない」と考えてしまうことがあります。
けれど、失ってから歯の大切さに気づき、「もっと早く治療しておけば…」と後悔される方も少なくありません。
当院では、そうした後悔を生まないよう、再発を防ぐ体制を整え、治療の繰り返しを防ぐサポートを行っています。
「歯の健康は、人生の質そのもの」です。今の一歩が将来の後悔を防ぎます。
当院のインプラント体制
当院では、国際インプラント学会(ICOI〈旧DGZI〉)認定医である理事長・難波正英のもと、大学病院レベルのチーム医療と先進設備を整え、最先端のインプラント治療を行っています。
各分野の専門家が連携し、患者さん一人ひとりに最適な治療を提供。
ここでは、当院が誇るインプラント治療体制についてご紹介します。
「インプラント」の専門家
インプラント歴「30年以上」、「6,000本以上」の実績を持つ、国際口腔インプラント学会(ICOI(旧DGZI))「認定医」が必ず担当します。
「難症例」にも対応
「骨がないからインプラントはできない」と他院で断られた方もご安心ください。当院なら、ほとんどのケースで治療可能です。
「大学病院水準」の体制
CT・マイクロスコープなどの精密機器を導入。
厳格なヨーロッパ基準の感染予防対策を徹底したオペ室も完備。
理事長/院長 難波 正英
経歴
| 日本歯科大学 卒業 |
|---|
| 日本歯科大学附属病院 臨床研修課程修了 |
|---|
| 医療法人慈皓会 波多野歯科医院 勤務 |
|---|
| 難波歯科医院 勤務 |
|---|
| 医療法人慈正会 設立 理事長に就任 |
|---|
| 東北大学口腔システム補綴学教室 博士課程修了 |
|---|
資格・所属学会・団体
- 臨床研修指導医
- 国際口腔インプラント学会(ISOI)認定医
- 歯学博士号
- 日本補綴歯科学会 会員
- 日本口腔インプラント学会 会員
- OJ(インプラント学会) 会員
初診「個別」相談へのご案内
当院では、患者さんが抱えていらっしゃるお口のお悩みや疑問・不安などにお応えする機会を設けております。どんなことでも構いませんので、私たちにお話ししていただけたらと思います。
ご興味がある方は下記からお問い合わせください。

- 〒250-0012
神奈川県小田原市本町1-1-3 - JR/小田急電鉄/伊豆箱根鉄道/箱根登山鉄道
「小田原駅」東口より徒歩9分 - 小田原厚木道路「小田原東IC」/「小田原西IC」を
降りて約10分