国際口腔インプラント学会「認定医」在籍
「All-on-4(オールオン4)」は
以下の方に最適の治療です
- 今の総入れ歯が合わない
- 歯がボロボロでほとんど残っていない
- しっかり噛めて、食事が楽しめる歯にしたい
インプラント治療に革命を!「オールオン4」で快適なお口の環境を手に入れる
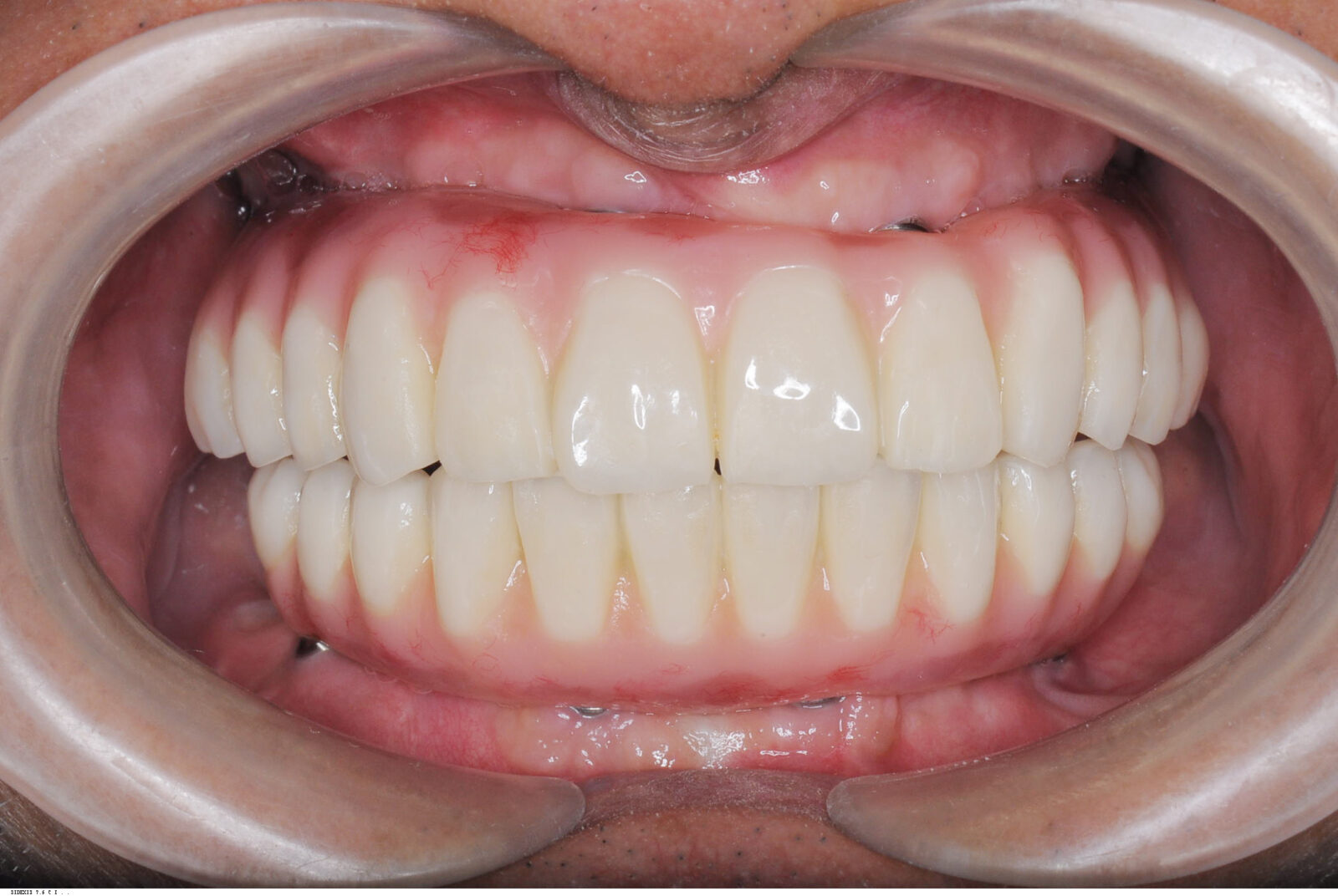
オールオン4(All-on-4)は、歯を失った方や総入れ歯が合わない方に最適な治療法です。
片顎4本のインプラントで最大12本の人工歯を支えることができ、当日中にしっかり噛める歯を手に入れることも可能です。
※患者さんのお口の状態により6本の場合もあり
全ての歯にインプラントを入れる必要がないため、身体への負担が少なく、費用も抑えられます。見た目と機能性を両立した画期的な治療法です。
以下に、メリットとデメリットを詳しく説明します。
メリット①一度の手術で完結
オールオン4は、少ないインプラントの埋入本数で全体の歯を支える画期的な治療法です。
通常の治療では多数のインプラントが必要ですが、オールオン4は片顎4本(場合により6本)で済むため、手術は1回、治療期間も短縮され、費用も抑えられます。
身体・精神的負担の軽減にもつながります。
メリット②手術当日に「噛める」歯が入る
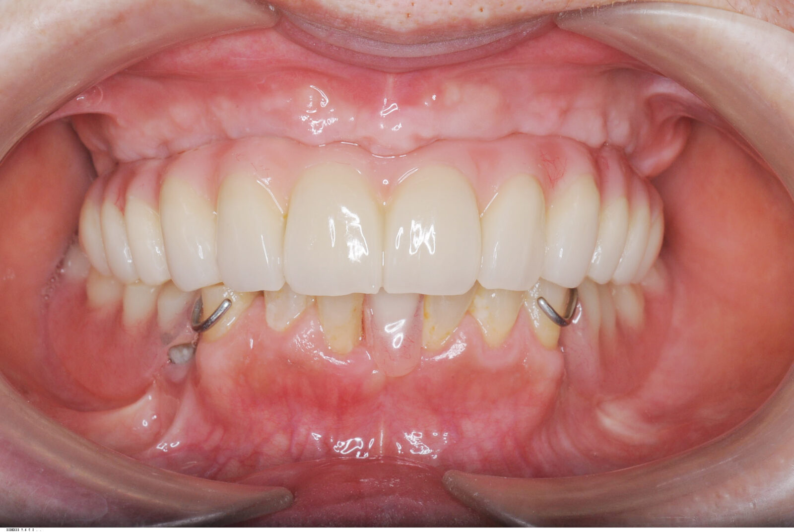
白く美しい整った歯並びと噛める歯が、たった1日で手に入ります。
もう一つの大きなメリットは、手術当日に仮歯を装着し、すぐに噛み始められることです。
従来の治療法では、治療当日に噛む力を回復するのは難しかったですが、オールオン4では手術当日から噛む機能を回復し、美しい見た目を手に入れることができます。
これにより、日常生活の質が大幅に向上し、食事を楽しむ喜びを再び味わえるようになります。
| 通常のインプラント | オールオン4 |
|---|
歯列全体を治療する際の埋入本数 | 14本 | 4本 or 6本 |
治療期間 | 個人差はあるが数年かかる場合も | 3か月~6か月 |
歯がない期間 | 生じることもある | なし ※手術当日に歯が入る |
オペ回数 | 1回〜複数回 | 1回 |
メリット③治療費が抑えられる
オールオン4は、費用と期間を大幅に抑えられる治療法です。
従来は、インプラントや矯正、歯周外科、審美治療などを組み合わせた「総合治療」が必要で、費用も期間も大きな負担となっていました。
一方、オールオン4なら、必要最小限の本数で済むため、費用を抑えられるだけでなく、手術も一度で完了。
治療期間の大幅な短縮と、身体的・精神的な負担軽減も可能になります。
| 総合治療 | オールオン4 |
|---|
治療期間 | 数年 | 3か月~6か月 |
治療期間 | 400万円以上かかることが多い ※矯正やインプラント、歯周外科等の総合的な治療を行うため | 198万円〜 ※当院の場合 |
患者さんの肉体的負担 | 非常に大きい ※さまざまな治療を施すため | 1回のオペのみ |
患者さんの精神的負担 | 非常に大きい ※さまざまな治療を施すため | 1回のオペのみ |
オールオン4のデメリットについて
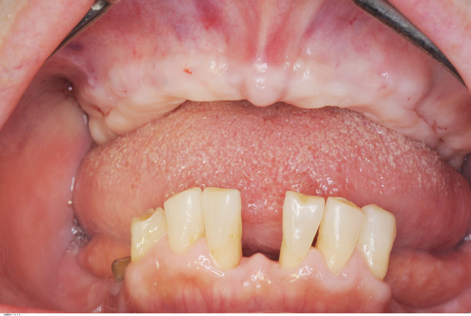
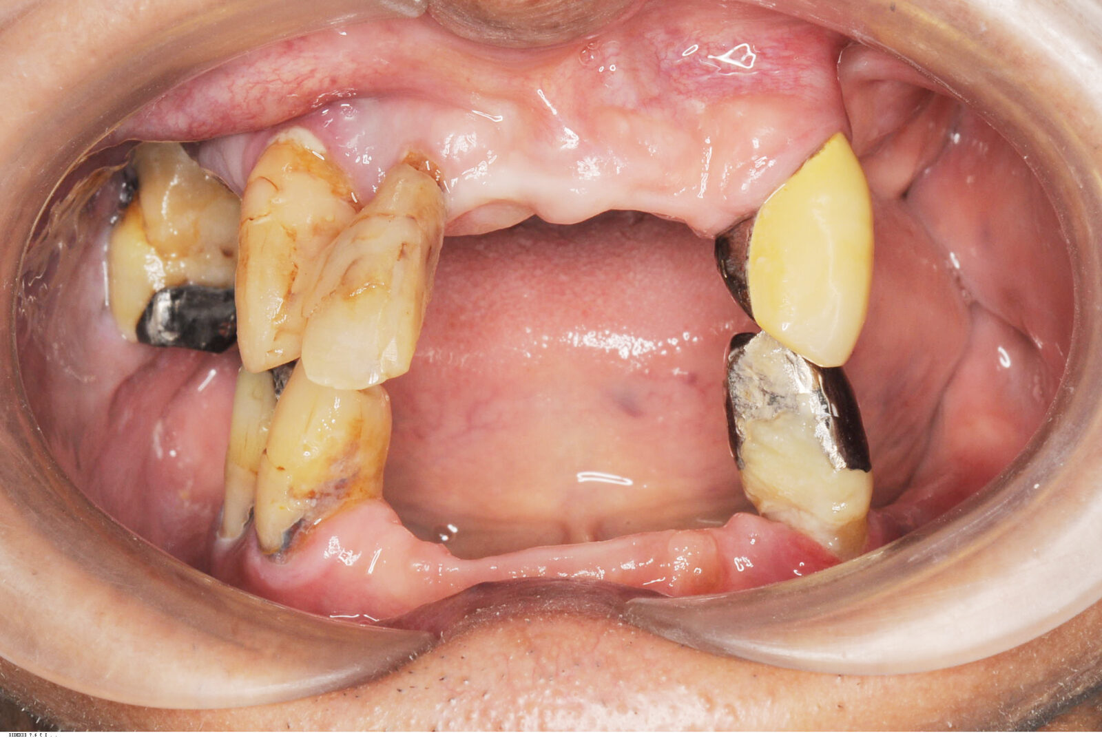
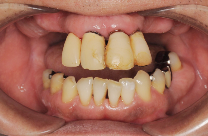
デメリット①残存歯の「抜歯」が必要
オールオン4は、歯をほぼ失っている状態や機能が著しく低下した歯が多い場合に適しています。
そのため、もし健康な歯がまだ口の中に残っている場合、それらを「抜歯」する必要があります。
「自分の歯をできる限り残したい」と望む患者さんもいらっしゃいますので、そのような場合には他の治療法を検討することが大切です。
デメリット②治療結果は担当医の技術力で大きく異なる
オールオン4は、担当医の経験や技術により、見た目の美しさや長期安定性、そして治療結果に大きな差が出る高度な治療です。
特に、術後のケアや噛み合わせ設計が不十分だと、「インプラント周囲炎」などのトラブルにつながるリスクもあります。
デメリット③手術後の痛み・腫れ・あざ
手術後には、痛みや腫れ、まれに顔や顎にあざが生じることがあります。
これは外科手術後によく見られる一般的な反応です。
処方された鎮痛剤の使用や、患部の冷却によって症状を和らげることができます。
通常は数日で軽快しますが、痛みや腫れが長引く、あるいはあざが広がるなど異常が見られた場合は、速やかに医師へご連絡ください。
デメリット④喫煙や飲酒の影響
喫煙や飲酒は、オールオン4手術の結果に悪影響を及ぼす可能性があります。
特に喫煙は血液の循環を阻害し、傷の治癒を遅らせる要因となります。
また、飲酒は手術後の炎症を悪化させる恐れがあるため、手術前後には控えることが望ましいです。
生活習慣を見直し、適切な管理を行うことで、治療の成功率が高まります。
当院のインプラント体制
当院では、国際インプラント学会(ICOI〈旧DGZI〉)認定医である理事長・難波正英のもと、大学病院レベルのチーム医療と先進設備を整え、最先端のインプラント治療を行っています。
各分野の専門家が連携し、患者さん一人ひとりに最適な治療を提供。
ここでは、当院が誇るインプラント治療体制についてご紹介します。
「インプラント」の専門家
インプラント歴「30年以上」、「6,000本以上」の実績を持つ、国際口腔インプラント学会(ICOI(旧DGZI))「認定医」が必ず担当します。
「難症例」にも対応
「骨がないからインプラントはできない」と他院で断られた方もご安心ください。当院なら、ほとんどのケースで治療可能です。
「大学病院水準」の体制
CT・マイクロスコープなどの精密機器を導入。
厳格なヨーロッパ基準の感染予防対策を徹底したオペ室も完備。
理事長/院長 難波 正英
経歴
| 日本歯科大学 卒業 |
|---|
| 日本歯科大学附属病院 臨床研修課程修了 |
|---|
| 医療法人慈皓会 波多野歯科医院 勤務 |
|---|
| 難波歯科医院 勤務 |
|---|
| 医療法人慈正会 設立 理事長に就任 |
|---|
| 東北大学口腔システム補綴学教室 博士課程修了 |
|---|
資格・所属学会・団体
- 臨床研修指導医
- 国際口腔インプラント学会(ISOI)認定医
- 歯学博士号
- 日本補綴歯科学会 会員
- 日本口腔インプラント学会 会員
- OJ(インプラント学会) 会員
当院が提供するオールオン4の特長
当院におけるオールオン4治療は、全国でもトップクラスの品質と豊富な実績を誇ります。ここでは、当院の特長についてご紹介いたします。
特長① 最上級の材料と信頼性のあるメーカー
インプラントは体内に埋め込む部品であるため、その品質には絶対に妥協しません。当院では、常に最高品質の材料を使用し、信頼性の高いメーカーから調達しています。特に、インプラント治療であるオールオン4については、世界的にも評価の高いメーカーを選んでいます。
特長② 高品質な治療を手頃な価格で提供
最高水準の材料と技術を用いた治療は一般的に高額になることが多いですが、当院では適正な価格設定で高品質な治療を提供し、患者さんの負担を軽減することを重視しています。具体例としてオールオン4の治療は片顎198万円から利用可能です。
また、デンタルローンを活用することで、より多くの患者さんが経済的負担を抑えつつ質の高い治療を選ぶことができます。
特長③ 美しさと耐久性を兼ね備えた「ジルコニア」
当院では、オールオン4の人工歯にジルコニアを使用しています。この素材は、自然の歯のような美しい外観を持ち、見た目の維持が長期間可能です。また、耐摩耗性が高く、長年使用しても安定した状態を保つことができるため、安心してご利用いただけます。
オールオン4治療の流れ
ステップ①カウンセリング
患者さんと最初にカウンセリングを行い、ご希望や疑問点について詳しく伺います。インプラント治療やオールオン4治療に関する質問は、どんな些細なことでも遠慮なくお話しください。
ステップ②精密検査
お口の中の状態を詳細に確認するために、レントゲンやCT検査を含めた精密検査を実施します。骨の状態もしっかりチェックし、必要な情報を集めます。
ステップ③診断と治療計画のご案内
検査結果を基に、個別の治療計画を立てます。患者さんが納得できるよう、治療内容を丁寧に説明し、ご同意いただいた上で治療を開始します。
ステップ④インプラント手術と仮歯の設置
インプラントの埋入手術を行います。不安がある場合は、「睡眠無痛治療(静脈内鎮静法)」をご利用いただけます。手術当日に仮歯を装着し、日常生活への影響を最小限にします。
ステップ⑤最終的な人工歯の取り付け
インプラントが骨と十分に結合した後、最終的な人工歯を取り付けます。快適な使用感を提供できるよう心掛けています。
オールオン4治療に関するよくある質問
- オールオン4治療は骨が少ない場合にも受けられますか?
- 骨量が少ないケースでもオールオン4治療は可能です。インプラントは骨が十分に残っている場所を選んで埋入するため、通常、骨造成手術は必要ありません。
しかし、長期間総入れ歯を使用していた方は、骨が著しく減少していることがあるため、追加の骨造成が必要となる場合もあります。 - 歯が残っていても、オールオン4治療は受けられますか?
- はい、歯が残っている患者さんにも治療を行うことができます。
まず詳細な診査と診断を実施し、個別のカウンセリングを通して、オールオン4が最適な治療法であるか判断します。患者さんがこの治療を望まれる場合、手術当日に残存歯を抜歯し、その後すぐにオールオン4の処置を行います。 - 上下の顎にオールオン4治療を同時に行うのは難しいですか?
- 上下の顎に対するオールオン4の手術は一度に行えます。この方法により、通院回数や治療期間の短縮が可能となり、理想的な噛み合わせや歯並びを得ることが期待できます。
また、一度の手術で済むことで、身体的な負担も軽減されます。 - 遠方からの通院でも治療を受けられますか?
- 当院には多くの患者さんが遠方から訪れてくださっています。そのため、通院の負担を軽減するために、できる限り治療をまとめて進める工夫をしています。効率的な治療スケジュールを作成し、短期間で必要な治療を完了できるように配慮しています。
初診「個別」相談へのご案内
当院では、患者さんが抱えていらっしゃるお口のお悩みや疑問・不安などにお応えする機会を設けております。どんなことでも構いませんので、私たちにお話ししていただけたらと思います。
ご興味がある方は下記からお問い合わせください。

- 〒250-0012
神奈川県小田原市本町1-1-3 - JR/小田急電鉄/伊豆箱根鉄道/箱根登山鉄道
「小田原駅」東口より徒歩9分 - 小田原厚木道路「小田原東IC」/「小田原西IC」を
降りて約10分