インプラントとは

ご予約・お問い合わせ

0465-22-2758

インプラント無料相談
キービジュアル
国際口腔インプラント学会「認定医」在籍

インプラント治療でしか得られない
メリット」があります

  • 天然歯のような「見た目」
  • しっかり「噛める」
  • 「外れる」心配がない
  • 治療前
  • 治療後
  • 治療前
  • 治療後
  • 治療前
  • 治療後

より自然な見た目と機能を兼ね備えた「インプラント治療」

歯を失ったときに、見た目や噛み心地を取り戻す方法としてインプラント治療があります。この治療法では、顎の骨にチタン製のインプラント体を埋め込み、その上に人工歯を装着することで審美性と機能性を回復します。

失った歯を補う方法には入れ歯やブリッジもありますが、これらは周囲の健康な歯を削って支えにするため、結果的に健康な歯に負担をかけることになります。

一方でインプラントは、インプラント体の上に人工歯を装着するため、天然の歯のように独立して歯を支えることができます。

コラムインプラントがチタン製であるわけ

インプラントの素材として、一般的にチタンが使用されています。これは、チタンが骨と直接結合する特性を持つためです。この特性により、顎骨に埋め込んだ際もしっかりと固定されるという利点があります。

さらに、チタンはアレルギー反応を起こしにくい素材であり、強度と耐久性にも優れています。そのため、インプラントを長期間安定して使用できるのです。

インプラントは「一生もの」?

インプラントは、適切なケアを行うことで10年以上使用できる優れた治療法です。
実際に、世界初のインプラント(Nobel Biocare社製)は、40年以上機能し続けたという報告もあります。

しかしながら、注意が必要です。インプラント周囲炎と呼ばれる歯周病に似た症状が発症するリスクがあります。
当院では、このインプラント周囲炎を予防するために、インプラント埋入後も定期的なメンテナンスを行っています。

当院のインプラント体制

当院では、国際インプラント学会(ICOI〈旧DGZI〉)認定医である理事長・難波正英のもと、大学病院レベルのチーム医療と先進設備を整え、最先端のインプラント治療を行っています。
各分野の専門家が連携し、患者さん一人ひとりに最適な治療を提供。
ここでは、当院が誇るインプラント治療体制についてご紹介します。

「インプラント」の専門家

インプラント歴「30年以上」、「6,000本以上」の実績を持つ、国際口腔インプラント学会(ICOI(旧DGZI))「認定医」が必ず担当します。

「難症例」にも対応

「骨がないからインプラントはできない」と他院で断られた方もご安心ください。当院なら、ほとんどのケースで治療可能です。

「大学病院水準」の体制

CT・マイクロスコープなどの精密機器を導入。
厳格なヨーロッパ基準の感染予防対策を徹底したオペ室も完備。

理事長/院長 難波 正英

理事長/院長 難波 正英
経歴
日本歯科大学 卒業
日本歯科大学附属病院 臨床研修課程修了
医療法人慈皓会 波多野歯科医院 勤務
難波歯科医院 勤務
医療法人慈正会 設立 理事長に就任
東北大学口腔システム補綴学教室 博士課程修了
資格・所属学会・団体
  • 臨床研修指導医
  • 国際口腔インプラント学会(ISOI)認定医
  • 歯学博士号
  • 日本補綴歯科学会 会員
  • 日本口腔インプラント学会 会員
  • OJ(インプラント学会) 会員

先進技術を駆使した安全な治療

当院では、インプラント治療の安心・安全を実現するために、最先端の精密機器を導入し、患者さんの負担を軽減しています。ここでは、当院で使用している主要な機器をご紹介します。

CTスキャンによる精密検査

インプラント治療では、顎骨に金属製の土台を埋め込みますが、その際には神経や血管を傷つけないように細心の注意が必要です。当院では、CTスキャンを用いて事前に詳細な検査を行います。

この装置はX線を用いて体内を撮影するもので、360度回転しながら鮮明で立体的な画像を提供します。これにより、骨の内部を正確に把握し、安全な治療計画を立てることができます。

マイクロスコープによる高精度な治療

マイクロスコープは、歯科治療専用の顕微鏡で、患部を十数倍に拡大して観察できます。これにより、細かい部分まで確認しながら手術を行え、精密な治療を提供します。

ピエゾサージェリーによる安全な骨造成

インプラント治療において、骨を増やす「骨造成」が必要な場合があります。その際に使用するのが「ピエゾサージェリー」です。この装置は超音波振動で硬い組織のみを切開し、柔らかい組織を傷つけません。切断面へのダメージが少なく、回復が速い点も利点です。

抜歯したその日に歯が入る革新の「抜歯即時荷重」

一般的なインプラント治療では、まず抜歯後の傷口がふさがり、骨が安定してからインプラントを入れる手術が行われます。このため、「歯がない期間」が数ヶ月続くことになり、患者さんはその間、不便な生活を強いられます。

しかし、インプラント技術の進化により、抜歯当日に新しい歯が入る「抜歯即時荷重」という治療法が実現しました。これは、抜いた歯の穴に直接インプラントを入れることで、骨の造成が不要であり、歯茎を切開する必要もなくなります。その結果、治療期間が短縮され、来院回数も減少します。この方法は患者さんにとって大きなメリットがありますが、適応できる症例が限られるというデメリットも存在します。

「痛みの少ない手術」フラップレス手法

通常のインプラント手術では、歯肉を切開し、その結果として術後に痛みや腫れが生じることがあります。しかし、当院では「フラップレス」という手法を用いて、これらのデメリットを最小限に抑えています。

この方法は「切らない/縫わない/腫れない」を可能とし、メスを使用せず「歯肉パンチ」と呼ばれる器具で歯肉に小さな穴を開けてインプラントを埋入します。切開がないため、術後の痛みや腫れ、出血のリスクは極限まで抑えられます。また、治療後の縫合や抜糸も不要で、腫れることもほとんどありません
※ただし、ケースによっては歯肉を切開する場合もありますのでご了承ください。

「顎の骨を増やす「再生療法」」

再生療法の一つである「骨造成」は、インプラント治療に必要な骨が不足している場合に行う外科処置です。
骨を補い、しっかりとした土台を作ることで、インプラント治療の選択肢を広げることができます。

当院には、国際口腔インプラント学会「認定医」が在籍しており、豊富な実績と設備が整っています。
そのため、骨が少ない」「骨がない」として他院で治療を断られた方でも、骨造成によって治療が可能となるケースが多くあります。

状態に応じて、以下の「サイナスリフト」「ソケットリフト」「GBR」「CGF」「骨移植」など、最適な手法をご提案します。

サイナスリフト

サイナスリフト」は、上顎の骨が大きく不足している場合に行う骨造成法で、骨の厚みが3mm以下の方に適しています。
頬の奥にある上顎洞の膜を持ち上げ、その下に人工骨などを移植して骨を増やします。
切開範囲はやや広くなりますが、骨量が少ないケースにも対応可能です。

ソケットリフト

ソケットリフト」は、上顎に3〜5mmほど骨が残っている方に適した骨造成法です。
サイナスリフトよりも体への負担が少なく、切開も最小限で済みます。
インプラントを埋める穴から骨補填材を注入し、上顎洞の膜を持ち上げて骨を増やす方法で、比較的骨量がある方に向いています。

GBR(骨誘導再生法)

GBR(骨誘導再生法)」は、インプラントを安定させるのに必要な骨が不足している部分に対し、人工骨などを入れ、特殊な膜で覆って骨の再生を促す治療法です。
骨がしっかり再生されるまで数ヶ月待つ必要がありますが、これによりインプラント治療が可能になるケースも多く、見た目や噛む力の回復にもつながります。

CGF

CGF(Concentrated Growth Factors)」は、患者さん自身の血液から抽出した高濃度の成長因子を含むフィブリンゲルです。

骨造成や歯周組織の再生時に使用され、治癒の促進や炎症の抑制、感染リスクの低減に効果があります。
自己血液を使用するため安全性が高く、自然治癒力を最大限に引き出せる再生療法のひとつです。

骨移植

骨移植」は、インプラントを埋め込むのに十分な骨がない場合に、他の部位から採取した骨や人工骨を移植して骨量を補う方法です。
移植された骨が周囲の骨と結合・再生することで、インプラントの安定した土台を築きます。
顎の骨が大きく不足しているケースでも、インプラント治療を可能にするための重要な処置です。

信頼のインプラントメーカーを厳選

インプラントメーカーは世界中に100社以上、日本国内には30社以上存在します。当院では、その中から骨との結合性や安全性などを総合的に考慮し、以下のメーカーを採用しています。

ストローマン

ストローマンは世界市場でトップシェアを誇るインプラントメーカーです。比較的小さなインプラント体が日本人に適しているとされています。また、スイス・ベルン大学の臨床研究によれば、手術の成功率は約97%、残存率は約98%と、高い安全性と長寿命が期待できます。

ノーベルバイオケア

1960年代から商業用インプラントを展開するノーベルバイオケアは、ブローネマルク博士の研究に基づき、インプラント治療の礎を築きました。科学的根拠に基づく高い信頼性と豊富な臨床実績を持ち、世界中の歯科医師から支持されています。

ネオデント

ネオデントはストローマングループに属する信頼性の高いブランドとして知られています。骨と結合しやすい表面加工と独自構造により、高い安定性と審美性を兼ね備えています。優れた親水性を持つ表面加工が骨との結合を促進し、コストパフォーマンスにも優れています。

コラムインプラント、入れ歯、ブリッジの比較

ここで、「インプラント」「入れ歯」「ブリッジ」についてさまざまな視点から比較検証してみましょう。

① 「噛みやすさ」比較

インプラント
入れ歯
ブリッジ
天然歯の噛む力を100%とした場合、インプラントは約90%と最も高く、ブリッジが約70%、入れ歯が約20%とされています。

② 「使用感」比較

インプラント
入れ歯
ブリッジ
インプラントは顎の骨に人工歯根を埋め込み、その上に人工歯を装着するため、天然歯に近い使用感が得られます。入れ歯の場合、異物感を感じることが多く、嘔吐反射を引き起こす場合もあります。また、総入れ歯を長期間使用するとズレや痛みを感じやすくなります。ブリッジは失った歯の両隣を支柱として支えるため安定性が高く、違和感や痛みをほとんど感じません。

③ 「ケアのしやすさ」比較

インプラント
入れ歯
ブリッジ
インプラントは歯ブラシやフロスでのケアが可能で、天然歯と同じような手入れができます。ブリッジでは、天然歯との隙間に食べかすが詰まりやすくなり、歯ブラシが届きにくいことがあります。入れ歯は専用のブラシと洗浄剤を使って毎食後に取り外してケアが必要です。

④ 「周囲の歯への影響」比較

インプラント
入れ歯
ブリッジ
インプラントは周囲の歯に負担をかけません。総入れ歯は粘膜を支えにするため、周囲の歯に影響を与えませんが、部分入れ歯は健康な歯にクラスプ(バネ)をかけるため支えとなる歯に大きな負担がかかります。ブリッジは欠損した歯の両隣を大きく削って支柱にするため、支えの歯にダメージを与えることになります。

⑤ 「見た目の美しさ」比較

インプラント
入れ歯
ブリッジ
インプラントは歯の色や形を選ぶことで自然な美しさを表現できます。ブリッジや入れ歯は保険適用内の治療では銀歯や金属部品が使われ、目立ちやすくなることがあります。天然歯に近い見た目を求める場合は、保険適用外の素材を使うことも考慮されます。

⑥ 「費用」の比較

インプラント
入れ歯
ブリッジ
インプラント治療は保険が適用されず、全額自己負担となるため他の治療に比べて高額です。入れ歯やブリッジは保険適用であれば、比較的低コストで治療が受けられますが、見た目や機能性を重視する場合は保険適用外の治療を選択することが増えます

⑦ 「手術の有無」比較

インプラント
入れ歯
ブリッジ
必要
不要
不要
インプラントは顎骨に直接穴を開けて人工歯根を埋入するため、外科手術が必要です。これに対し、入れ歯やブリッジには手術が不要です。

⑧ 「耐久性」比較

インプラント
入れ歯
ブリッジ
インプラントは、治療後の定期的なメンテナンスを続けることで10年以上の利用が期待できます。入れ歯は約3年で損傷が生じやすく、5年ごとに作り直すことが推奨されています。ブリッジは入れ歯よりも長持ちですが、支柱として使われた歯は虫歯になりやすく、折れやすいリスクがあります。

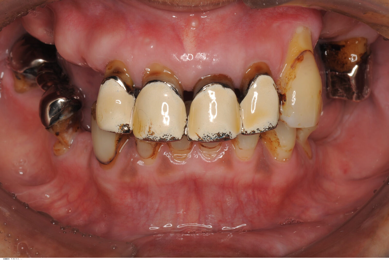
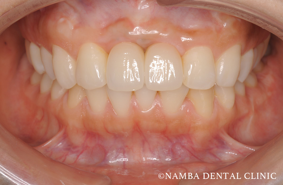
当院のインプラント症例集

当院で行ったインプラント症例を紹介します。
  • 治療前
  • 治療後
  • 治療前
  • 治療後
  • 治療前
  • 治療後
  • 治療前
  • 治療後
  • 治療前
  • 治療後

治療の流れ

STEP①カウンセリング

まず、患者さんとのカウンセリングで、インプラント治療に関するご希望や疑問点を伺います。
どんな些細なことでもお気軽にお話しください。

STEP②精密検査と診断

CT撮影を行い、インプラント埋入予定部位の骨の量や質を精密に確認します。
あわせて、虫歯や歯周病の有無など、口腔内全体の状態もチェックします。
さらに、噛み合わせの検査や問診を通じて、全身の健康状態についても丁寧にお伺いします。

STEP③治療計画の説明

インプラント治療が適していると診断された場合、詳細な治療計画をご説明します。
治療のメリットやリスクについても丁寧にお話しし、ご質問にもお答えします。

STEP④虫歯・歯周病の先行治療

虫歯や歯周病がある場合、最初に治療を行いお口の健康を整えます。
これによりインプラント治療の成功率が高まります。

STEP⑤インプラント手術

インプラントの埋入手術を行います。通常インプラント1本なら20分で完了します。

STEP⑥上部構造の装着

インプラントが骨としっかり結合したら、人工歯である上部構造を取り付け、噛み合わせを調整して治療が完了します。

STEP⑦定期的なメンテナンス

長くインプラントを使用するためには、定期メンテナンスが重要です
インプラントは虫歯になりませんが、インプラント周囲炎」という問題が発生することがあります。
進行すると、最悪の場合インプラントが抜け落ちることもあります。

インプラント治療に関するよくある質問

インプラント治療は痛みを伴いますか?
手術や痛みに強い不安がある方には、「睡眠無痛治療(静脈内鎮静法)」をご提案しています。
点滴によって鎮静薬を投与し、ほぼ眠っているような感覚で治療が可能
痛みや恐怖心がほぼなく、安心して治療を受けていただけます。
※静脈内鎮静法:71,500円(税込)
治療費用はどのくらいですか?
インプラントの費用は、口腔内の状態や治療範囲、本数により異なります。
保険適用外のため、他の補綴治療より費用が高くなる傾向があります。
当院ではクレジットカードデンタルローンによる分割払いにも対応
費用や支払い方法についてはカウンセリング時に丁寧にご説明しますので、お気軽にご相談ください。
どんなリスクがありますか?
インプラントは位置や角度が適切でないと、噛み合わせ不良神経・血管の損傷などのリスクがあります。
特に上顎の副鼻腔や下顎の神経周辺では注意が必要です。
当院ではCT検査などを用いて骨の状態を正確に把握し、精密な治療計画を立てて安全性を高めています。
手術後に仕事や学校の休みは必要ですか?
1本の埋入であれば約20分で終了し、昼休みに受ける方もいます。
インプラント手術は身体への負担が少なく、ほとんどの方が当日から通常の生活に戻れます。
※ただし、当日は激しい運動など身体に負担のかかる行動は控えてください
タバコは治療にどのような影響を与えるのでしょうか?
喫煙はインプラント治療の成功率や長期安定性に悪影響を及ぼします。
ニコチンは血管収縮血流不足を引き起こすことで感染リスクが高まり、傷の治りも遅くなります。
そのため、インプラント治療を検討される方には禁煙を強くおすすめしています。
治療効果を最大限に引き出すためにも、禁煙は大きな鍵となります。

初診「個別」相談へのご案内

当院では、患者さんが抱えていらっしゃるお口のお悩みや疑問・不安などにお応えする機会を設けております。どんなことでも構いませんので、私たちにお話ししていただけたらと思います。
ご興味がある方は下記からお問い合わせください。

ご予約・お問い合わせ

0465-22-2758

  • 〒250-0012
    神奈川県小田原市本町1-1-3
  • JR/小田急電鉄/伊豆箱根鉄道/箱根登山鉄道
    「小田原駅」東口より徒歩9分
  • 小田原厚木道路「小田原東IC」/「小田原西IC」を
    降りて約10分